Lieve volgers!
Wie wil deze lieve meid steunen?
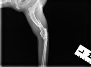
We kregen een oproep over een kitten van ongeveer 5 maand. Ze heeft een ernstige instabiele breuk opgelopen. Wat er is gebeurd, weten we helaas niet. Haar baasje zag wegens persoonlijke redenen verdere behandelingen niet meer zitten en zag geen andere uitweg om voor euthanasie te kiezen. Dit konden wij natuurlijk niet over ons hart krijgen. Na overleg is kleine Filou aan ons afgestaan, zodat zij alle zorgen kan krijgen die ze nodig heeft. Ze heeft een instabiele spiraalfractuur van de humerus aan de linker voorpoot. Filou zal vandaag geopereerd worden en zit ondertussen in een spalkverband dat alles mooi bijeenhoudt. We doen er dus alles aan om haar pootje te herstellen. Dit kost natuurlijk wel wat centjes. Afhankelijk van de complexiteit is de prijsschatting 2500 euro.
Zonder jullie hulp lukt dat niet!
Wie wil een bijdrage leveren?



